Skip Menu
Continue
2469 65th Street, Brooklyn, NY 11204
Logo
  • Home
  • About Us
    • Our Office
    • Smile Gallery
    • Testimonials
  • New Patients
  • The Doctors
    • Steven Singfer, DDS
    • Edward Stiel, DDS
  • Services
      • Crowns & Caps
      • Dental Bridges
      • Dental Fillings
      • Dentures
      • Digital Radiography
      • Extractions
      • Implant Dentistry
      • Laser Dentistry
      • Oral Exams
      • Periodontal Treatment
      • Preventive Program
      • Root Canals
      • Teeth Whitening
      • Veneers
    • View All
  • Dental Health
  • Contact
    • Contact Us
    • Request Appointment
  • Patient Portal

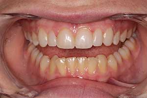
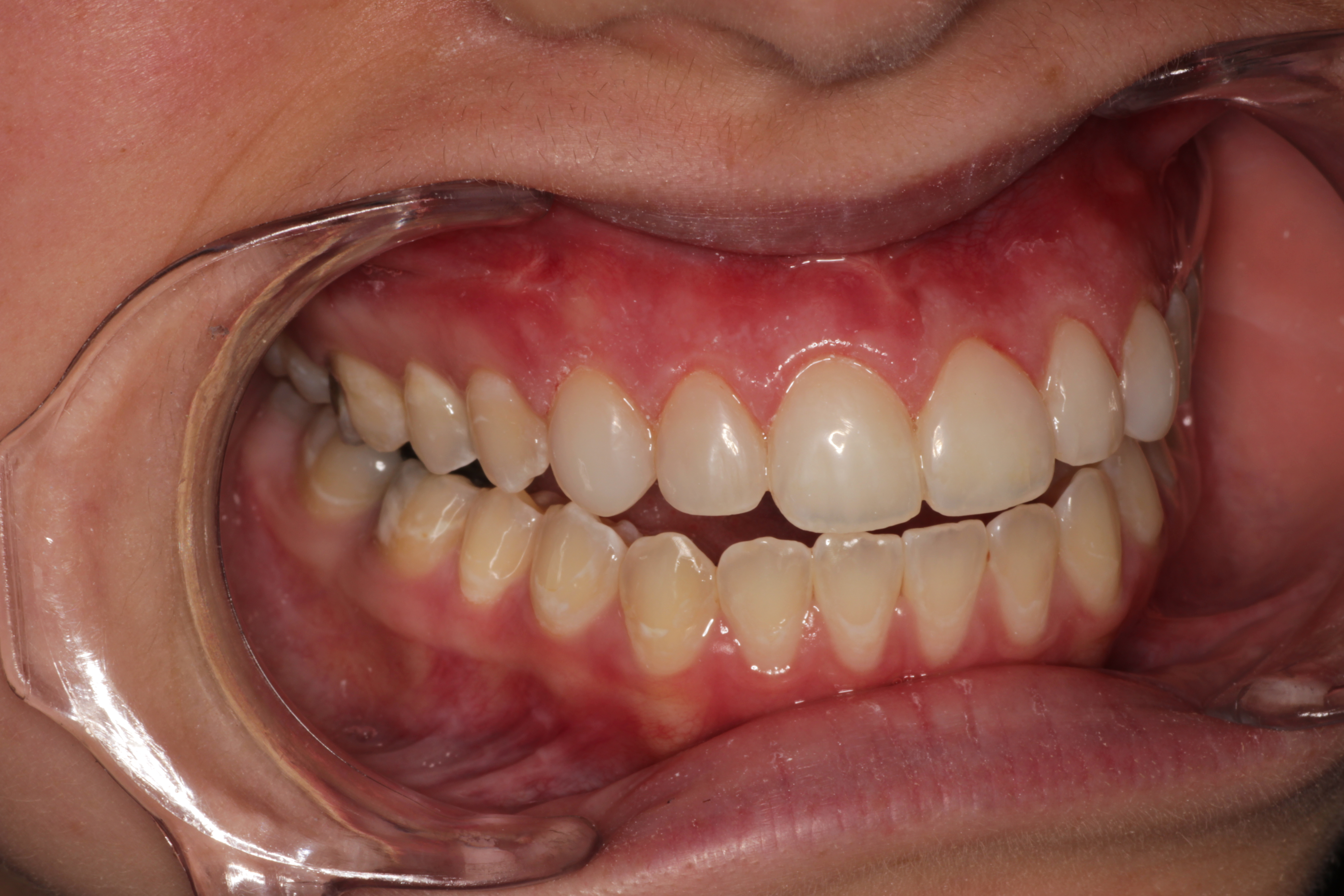
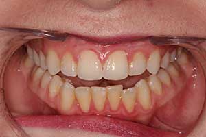
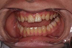
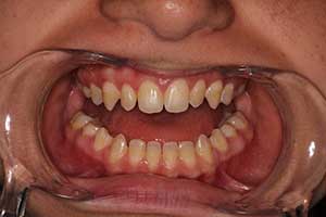
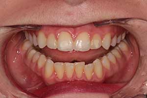
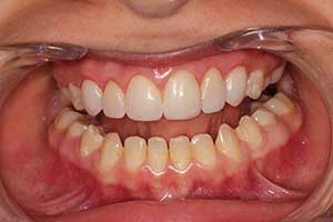
Smile Gallery

Before

Gallery

After

Gallery

Before

Gallery

After

Gallery

Before

Gallery

Before

Gallery

After

Gallery

Before

Gallery

After

Gallery

Before

Gallery

After

Gallery

Before

Gallery

After

Gallery

Before

Gallery

After

Gallery

Before

Gallery

After

Gallery

Before

Gallery

After

Gallery

Before

Gallery

After

Gallery

Before

Gallery

After

Gallery

Before

Gallery

After

Gallery

Before

Gallery

After

Gallery

Additional Information

Our Location

2469 65th Street
Brooklyn, NY 11204
(718) 339-1122

Don't wait. Book an Appointment Now!

With a quick phone call or form submission you could be on your way to a brighter, healthier smile. Click the button below to begin your journey.

Request an Appointment